Research Projects

Why do some people get really sick when they encounter fungi?

. . . and others don’t?

An Unlikely Human Host: Otherwise Healthy People

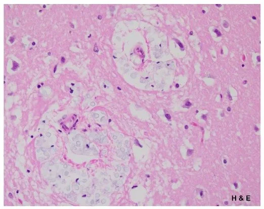
An Environmental Fungus: Cryptococcus

A Life-threatening Disease: Cryptococcal Meningitis

To answer this question, the Hargarten Lab studies human infections caused by the fungus Cryptococcus.

Worldwide, this fungus is breathed into the lungs of people enjoying the outdoors and rapidly cleared by a robust immune system. In rare cases, the fungus persists in the host, resulting in pulmonary infections and meningitis. It is now the most common cause of non-bacterial meningitis in the US. Worldwide, it kills 180,000 annually and leaves scores more with debilitating neurological sequelae despite adequate antifungal treatment. Think “The Last of Us,” but without the zombies.

The goal of the Hargarten Lab is to define the host factors critical for protection against Cryptococcus and to develop personalized therapeutic approaches for susceptible patient populations to correct deficits found in these host factors.

Host Genetics & Susceptibility:

Interplay between Genetics and Other Host Factors in Susceptibility:

Through whole-exome sequencing/whole-genome sequencing of the largest cohort of otherwise healthy cryptococcosis patients, we recently identified clusters of potentially deleterious genetic defects in patients that fall within biological pathways previously unexplored in the context of fungal disease. One such project recently discovered a requirement for MTOR-signaling in immune responses to Cryptococcus in mice and patients.

The Hargarten lab is working to understand the role of MTOR in adaptive and innate immune responses in the lung and brain during cryptococcal infection, with a goal of identifying new at risk-populations and new therapeutic strategies for modulating MTOR functionality in patients.

Interested in participating in this research project? Please contact us!

Project Support: NIAID K22.

36% of cryptococcal infections worldwide can not be explained by known risk factors for developing disease. Through epidemiological study of this patient population, the goal of the Hargarten Lab is to begin to uncover the host and environmental factors associated with risk for severe cryptococcosis and to translate these findings to help build algorithms to calculate a patient’s risk of future fungal infections and inform treatment recommendations.

Interested in participating in this research project? Please contact us!